
Les soins d’orthodontie à Bègles
Pourquoi consulter un orthodontiste ?
L’orthodontie est une spécialité médicale qui corrige les anomalies de position des dents et guide le développement des mâchoires.
Elle permet d’améliorer :
- la respiration
- la déglutition
- la mastication
- l’équilibre facial
- l’esthétique du sourire
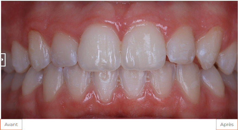
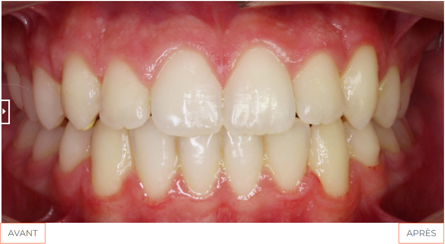
Au cabinet du Dr Virginie Carrion, chaque traitement est personnalisé selon l’âge, le type de malocclusion et les besoins du patient.
L’orthodontie selon l’âge
🧒 Enfants
(à partir de 6 ans)
Lors de la croissance, la respiration, la posture de la langue et la mastication influencent fortement le développement des mâchoires.
Nous réalisons un bilan précoce pour corriger les mauvaises habitudes et favoriser une croissance harmonieuse.
Objectifs :
- guider la croissance
- améliorer la respiration nasale
- prévenir les décalages importants
🧑🦱 Adolescents
À cet âge, toutes les dents définitives sont en place.
Les traitements visent à corriger le décalage des machoires, l’alignement dentaire et à harmoniser l’occlusion.
Solutions possibles :
- systèmes multi-ataches autoligaturants modernes métalliques ou céramiques
- aligneurs transparents adaptés aux adolescents
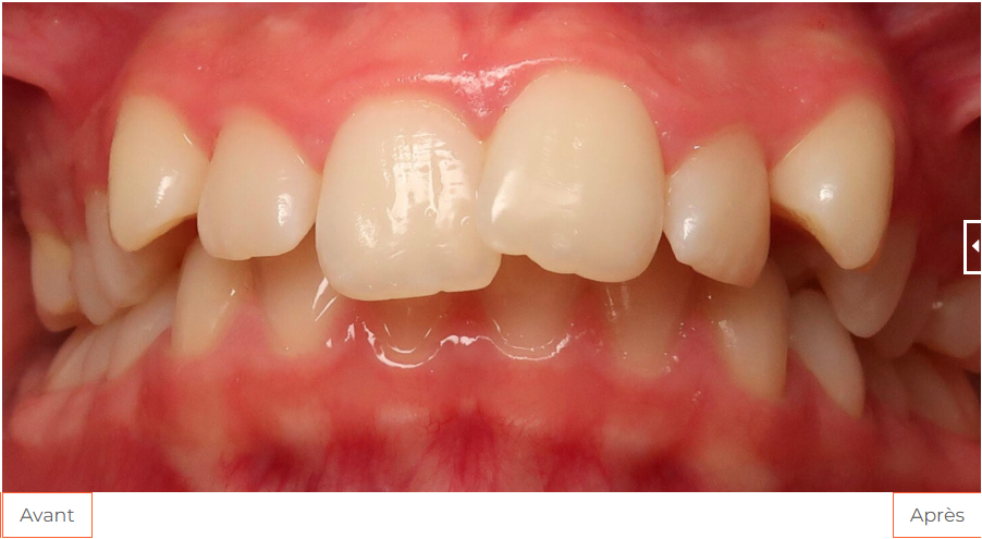
👤 Adultes
L’orthodontie est possible à tout âge.
Les techniques modernes permettent des traitements discrets, rapides et très précis.
Options adaptées :
- aligneurs invisibles
- techniques linguales
- attaches esthétiques
Orthodontie fonctionnelle et orthopédie dento-faciale
Certains enfants présentent des troubles fonctionnels (respiration buccale, déglutition dysfonctionnelle, succion du pouce, posture linguale incorrecte).
Ces dysfonctionnements peuvent modifier la croissance des mâchoires.
Notre approche fonctionnelle vise à :
- rétablir la respiration nasale
- corriger la déglutition
- stimuler la croissance mandibulaire ou maxillaire
- améliorer la posture labiale
Ce travail améliore la stabilité du traitement à long terme.




Orthodontie invisible – aligneurs transparents
Les aligneurs sont des gouttières transparentes, discrètes et amovibles, permettant d’aligner les dents avec confort.
Avantages :
- Confortable, sans métal
- Hygiène plus simple
- Très discret
- Retirable pour les repas
Comment ça fonctionne ?
- Empreintes numériques avec scanner intra‑oral
- Planification 3D du mouvement des dents (setup numérique)
- Série de gouttières sur mesure
- Contrôles sur mesure au cabinet ou à distance (monitoring)










Orthodontie traditionnelle — bagues modernes
Les attaches (brackets) métalliques ou céramiques restent une solution très efficace.
Le cabinet utilise des systèmes autoligaturants Damon Ultima, qui :
- nécessitent moins de force
- améliorent le confort
- réduisent la durée du traitement
- facilitent l’hygiène
- nécessitent moins d’ajustements
Des techniques numériques avancées permettent également la conception d’appareils sur mesure (méthodes numériques).





Laser
Le cabinet est équipé d’un appareil laser permettant :
- d’enlever la douleur lors des mouvements dentaires complexes grace à la photobiomodulation,
- de réaliser des gingivectomies esthétiques sans saignement,
- d’offirir des perspectives dans le mouvement des dents et la construction osseuse.

La contention — stabiliser le résultat
À la fin du traitement, les dents doivent être stabilisées.
Nous proposons plusieurs types de contention :
- gouttières nocturnes
- fil de contention discret
- suivi régulier
Un document explicatif complet est mis à disposition pour chaque patient.

